審美治療・矯正歯科で自然な歯の美しさを手に入れませんか?

歯は加齢や遺伝などによって黄ばんでしまいます。また、虫歯治療後の銀歯も気になりますよね? こうしたコンプレックスのせいで大きく口を開けて笑ったり、おしゃべりをしたりできなくなっている方も多いでしょう。審美治療・矯正歯科は、こうしたお悩みを解決できる歯科メニューです。港区・天王洲アイル駅の歯医者「小川歯科」で、輝く笑顔を手に入れませんか?
審美治療・矯正歯科とは
銀歯を天然歯のような白色が特徴のセラミック素材に変更すれば、見た目を改善することができます。しかし、乱れた歯列や咬み合わせをそのままにしていては、せっかくの美しい白い歯も台無しですし、それが原因で口腔内環境が悪化する可能性もあります。当院の審美治療や矯正歯科では、患者様のお口全体について考慮し、根本的な問題を解決から確実な治療を行います。
セラミックを使うことで自然な美しさが手に入ります

セラミックは天然歯に近い透明感・白さを持った審美素材のひとつです。その審美性と品質はほかの素材に比べて優れた点が多く、特に前歯での利用には最適です。ただし、奥歯といった咬み合わせを重視する場所、または神経が多く残ってしまっている場合には適用が難しいケースもあります。当院では、患者様のご要望をお伺いしたあと、最適な素材などをご提案いたしますので、一度ご相談ください。
審美治療例

-
- 乱れた歯列のせいでものを咬むたびに痛みを感じる
- 審美性の悪さがコンプレックスだった

-
- 下の犬歯を抜歯後、矯正治療を実施
- 矯正後に被せものをすべてセラミックに交換
- 歯肉の整形
| Before | After |
|---|---|
|
|
| 治療費 | 矯正治療80万円 セラミック6本60万円 |
|---|---|
| 治療期間 | 18カ月(1年6ヵ月) |
| 治療経過 | 矯正治療に14ヵ月・セラミック治療に4ヵ月 |
| リスク・副作用 |
|
コアとなる土台も重要

せっかく透明感があり美しいセラミックの被せものを使っても、被せものの土台となるコアが金属では白さに濁りが出てしまう場合もあります。より美しい透明感と白さをお求めなら「セラミックコア」「ファイバーコア」といった非金属の土台をご検討ください。透明性に優れているため、オールセラミックの被せものをより白く、より透明に見せてくれます。
セラミックコアの治療例

-
- 金属製のコアを使用していたため、黒ずみなどがあった

-
- セラミック製のコアと被せもので、天然歯と見わけが付かないほどきれいな仕上がりに
| Before | After |
|---|---|
|
|
| 治療費 | セラミック10万円・土台2万円 |
|---|---|
| 治療期間 | 2ヵ月 |
| 治療経過 | 矯正治療に14ヵ月・セラミック治療に4ヵ月 |
| リスク・副作用 |
|
ファイバーコアとは
ファイバーコア(ファイバーポスト補強型レジンコア)は、グラスファイバーで補強されたプラスチックの土台で、歯にしなやかさをもたらします。 歯の破損や虫歯で歯質が大切な場合に使用され、歯の根を温存しつつ歯に優しい土台を提供します。
- 保険外診療となり20,000円~30,000円
※歯の土台を保険外診療で行った場合は被せ物も保険外診療にする必要があります。
〈費用〉
左右の歯に合わせた歯色の調整も大切

人それぞれ歯の色が違うのは当たり前のこと。そのため、ただセラミックの被せものを取り付けるだけでは、まわりの歯との色調の違いで浮いてしまうこともあります。そこで当院では、ピンク・オレンジ・ブルーといった、さまざまな色を使って着色を行い、患者様一人ひとりに合わせた被せものを歯科医師と歯科技工士が協力することでご用意しています。
歯色の治療例

-
- セラミックの被せものを入れたいが、ほかの歯に混じると白すぎて浮いてしまう

-
- 色調を微調整しながら現在のお口にマッチするセラミックの被せものを作製・装着
| Before | After |
|---|---|
|
|
| 治療費 | セラミック3本30万円 |
|---|---|
| 治療期間 | 2ヵ月 |
| 治療経過 | 週に一度の4回(約1ヵ月) |
| リスク・副作用 |
|
歯が欠けてしまった場合

事故で歯が欠けてしまった場合などは審美治療にお任せください。詰めものや被せもの、貼り付けるタイプなど、さまざまな素材・治療法で患者様の歯を修復します。当院では、審美性や費用のバランスなどについてしっかりご相談した後、豊富な選択肢の中からお選びいただくことが可能です。
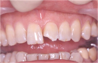
転んで歯が欠けてしまった症例

-
- 転倒により前歯の一部分が欠けてしまった

-
- オールセラミックで欠けた部分を補填
- クリーニングを行い歯の表面をなめらかに仕上げる
| Before | After |
|---|---|
|
|
| 治療費 | セラミック治療・クリーニング12万円 |
|---|---|
| 治療期間 | 2週間 |
| 治療経過 | 良好な状態 |
| リスク・副作用 |
|
未承認医療機器の使用について
当院では、未承認の医療機器である「マウスピース型カスタムメイド矯正装置(インビザライン)」を使用しています。
このため、医療広告ガイドラインに従い、未承認医薬品等であること、国内の承認医薬品等の有無、入手経路等、諸外国における安全性等に係る情報を掲載いたします。
1【未承認医薬品であること】
インビザラインは日本での承認は得ていないが、歯科医師の治療により安全性と有効性が確立されています。
2【国内の承認医薬品等の有無】
当院では、日本で承認を受けたマウスピース型カスタムメイド矯正装置を使用しています。
3【入手経路等】
当院の使用するマウスピース型カスタムメイド矯正装置(インビザライン)は、アメリカのAlign Technology社の製品であり、入手先はアライン・テクノロジー・ジャパン株式会社です。
4【諸外国における安全性等に係る情報】
インビザラインは1998年にFDAから認証を受け、900万人以上が世界中で使用しており、重大な副作用の報告はありません。
5【医薬品副作用被害救済制度の対象外であること】
完成物薬事機法対象外の矯正歯科装置であり、医療品副作用被害救済制度の対象外となります。

































